Neste mês de setembro, dos dias 20 a 23 está sendo realizada a terceira de campanha de monitoramento da qualidade da água dos poços de Maricá.
Esse trabalho é de grande importância para que possamos verificar a qualidade das águas subterrâneas e identificar possíveis áreas contaminadas, seja esta por contaminação cruzada, ou seja, pela própria fossa do morador ou, se está ocorrendo por outras fontes de poluição.
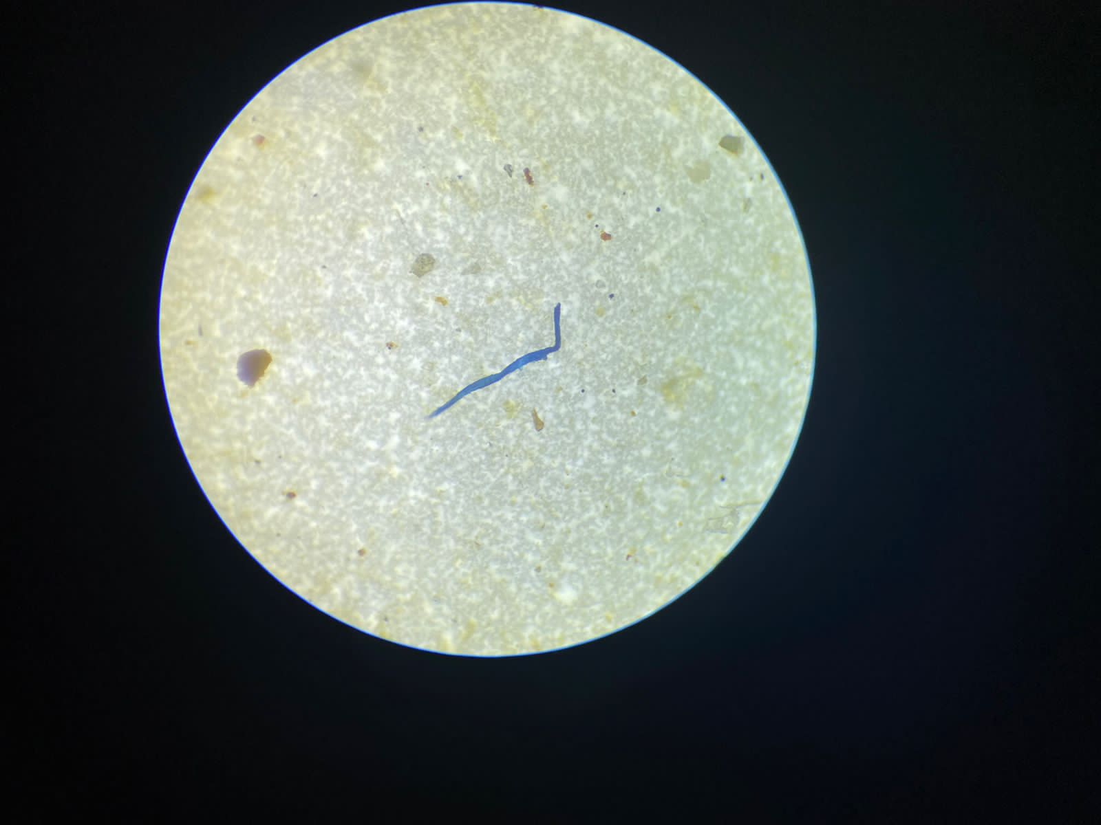
Estão sendo avaliados em laboratório os seguintes parâmetros: Turbidez, colimetria, pH, condutividade, salinidade, oxigênio dissolvido, STD, ORP, dureza, fósforo total, Carbono Orgânico, Carbono Inorgânico, Nitrogênio, STS, Coliformes fecais, Coliformes termotolerantes, Ferro, Cloreto e Nitrato. Além desses estão sendo verificados a presença de microplástico nas amostras das águas de poços.
Além da coleta de água, nosso time aequor busca entender o uso da água (se é consumida, ou utilizada no preparo de alimentos), se já foi identificado problemas de saúde que possam ter relação com a ingestão de água contaminadas, dentre outras informações que são de grande importância para avaliação final do monitoramento.
Aproveitamos para informar que os dados estão em fase de processamento e logo mais, estaremos verificando a melhor forma de divulgá-los.
Contamos mais uma vez com a população de Maricá para que possam nos receber e permitir que nossa equipe faça a coleta em suas casas, comércios ou outras áreas de interesse.








